Named in honor of Max Wilms (who originally proposed the origin of mixed kidney tumors)
Originated from nephrogenic blastema
90% of kidney pediatric tumors
Frequently present WT1 alterations (11p13)
Associated with syndromes (10%): Beckwith-Wiedemann, Denysh-Drash, WAGR
Palpable Painless mass is usually the most frequent presentation
Well circumscribed, pseudo encapsulated, gray-tan. Can have cystic areas
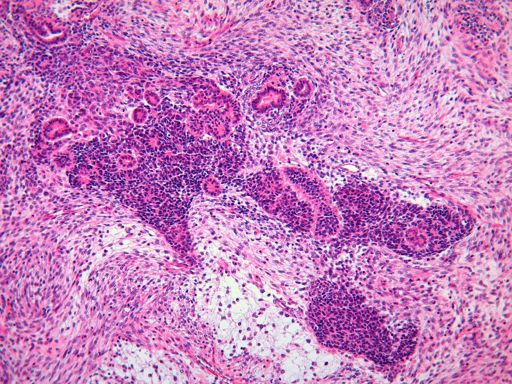
Usually composed of 3 elements (triphasic): Blastema, epithelium, and stromal elements.
Blastema is the small-undifferentiated cell component
Epithelial elements usually consist in small tubules or rosette like structures, but also can have mucinous, glomerular o squamous differentiation
Stroma is usually embryonal mesenchyme type, but can have many types of differentiation
Some cases can have ANAPLASIA and this finding is associated with worse prognosis
Anaplasia is defined as nuclear hipercromasia, nuclei that are 3x bigger than the rest, and multipolar mitoses.



Deja un comentario