-
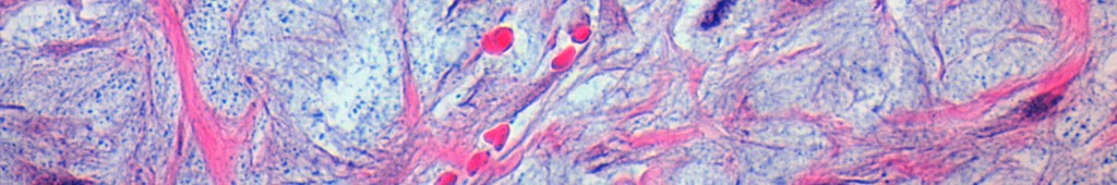
Nodular Fasciitis

I probably came across this diagnosis early in my pathology training, but I didn’t pay much attention to it because nobody was talking about it—apparently, there wasn’t much interest in this entity.Books state that nodular fasciitis is relatively frequent, but to be perfectly honest, I don’t think so. Let’s dive into it. What is it?…
-
Mammary Duct Ectasia

Duct ectasia, or periductal mastitis, involves dilated ducts leading to secretion stasis. The cause is unclear, potentially stemming from either duct involution or an inflammatory process. Symptoms include nipple discharge, pain, and abscesses. Morphologically, affected ducts exhibit thick walls filled with creamy secretion and inflammatory cell presence.
-
Spectare ut vivas: La Esencia de Observar para Vivir

«Spectare ut vivas» es un llamado a detenerse y observar con atención y consciencia, a encontrar en cada detalle una verdad que nos transforma. En la vida diaria, esta idea nos impulsa a vivir plenamente, descubriendo significado en lo que muchas veces pasa desapercibido. En la práctica profesional, representa el compromiso de mirar con detenimiento,…
-
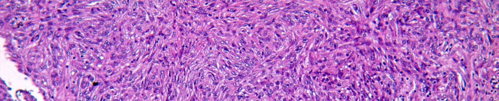
Angiomatous fibrous histiocytoma

A relatively new tumor described in 1979, primarily affecting children and young adults, typically occurs in the deep dermis or subcutaneous tissue, resembling hematomas. With low malignant potential, it shows EWSR1 gene rearrangement in many cases. Its rare nature and overlapping features with other tumors highlight the need for awareness.
-
8vo Salon de la fotografía Irapuato (Galería RENART)

Las líneas que dibujamos entre los conceptos [dónde termina una cosa y empieza otra] son imaginarias, al final son humos que rozan nuestra existencia y que conforme se acercan parecen tener forma y color, pero cuando se alejan parecen fundirse lentamente con el entorno. Como el sonido de una canción de fiesta se distorsiona cuando…