Podemos estudiar de varias formas a los quistes esplénicos:
Parasitarios / No parasitarios.
Verdaderos / Falsos (si tienen revestimiento epitelial o no).
Los quistes esplénicos congénitos son poco frecuentes.
A nivel mundial los quistes más frecuentes del bazo son ocasionados por echinococcus
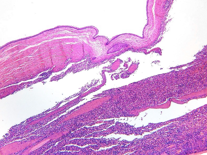
Los quistes verdaderos están revestidos por epitelio, mientras que los quistes falsos o pseudoquistes no lo están y se cree que estos últimos pueden estar en relación con trauma. Los quistes verdaderos pueden tener una variedad de epitelios como escamoso, glandular, mesotelial entre los más frecuentes. Aqui compartimos este caso que corresponde a un quiste esplénico verdadero. En general la patología del bazo es poco frecuente.


Detalle histológico del revestimiento epitelial

Vista panorámica de la pared del quiste constituida por epitelio escamoso, tejido conectivo y rodeada de pulpa roja

Deja un comentario